24小时销售热线

13510161192

产品中心

我的位置:首页  >  产品中心  >    >  显微镜/扫描电镜  >  Aperio GT450 智能数字病理扫描仪

P产品分类RODUCT CATEGORY

Aperio GT450 智能数字病理扫描仪

Aperio GT 450标记为仅供研究使用,可提供优先扫描的连续机架装载,仅需32秒即可在病理载玻片上以40x放大率扫描15mm15mm组织区域,吞吐量为81载玻片/小时。这项新技术允许客户进行研究以扩大数字病理学,以满足不断增加的滑动量需求。

  • 产品型号:
  • 厂商性质:经销商
  • 更新时间:2025-10-30
  • 访  问  量:500
立即咨询

联系电话:

产品详情

 Aperio GT 450标记为仅供研究使用,可提供优先扫描的连续机架装载,仅需32秒即可在病理载玻片上以40x放大率扫描15mm×15mm组织区域,吞吐量为81载玻片/小时。这项新技术允许客户进行研究以扩大数字病理学,以满足不断增加的滑动量需求。   

                            


          智能一体

无需人工干预

实现灵活上载、持续加载、触屏一体

让扫描仪摆脱电脑控制

呃呃呃呃呃.jpg



实时对焦与定制物镜

实时对焦技术

徕卡光学定制 40x 物镜

高速实现 40 倍 32s 扫描

获得屏幕真实图像

日日日日.jpg



色彩校准显示器


专为病理学家设计,

ICC 医用色彩校正文件,

保证显示器呈现的图像颜色,

还原展现显微镜下组织色彩

0.jpg

核分裂相(乳腺)

2.jpg

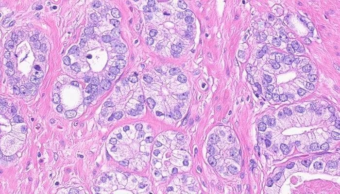
染色质

1.jpg

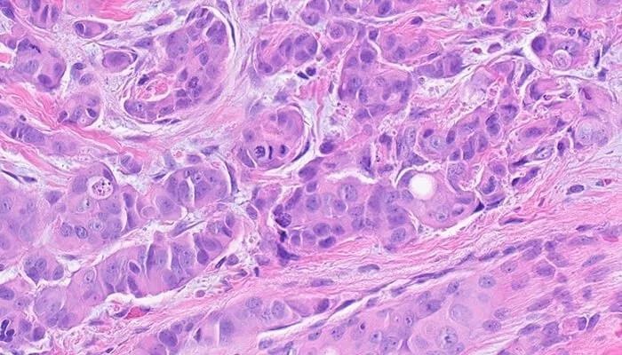
细胞连接

3.jpg

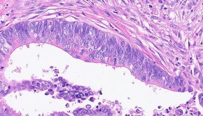
核仁










Leica Biosystems 致力于在产品设计完成之前获得 9-10 分的影像质量评分(如果使用基于象限的评分标准,则为 > 3.75),这通常意味着我们要用病理学家的眼睛来测量影像质量。


在测量开发中的扫描仪的影像质量时,我们会访问世界各地的病理实验室,并与许多病理学家一起测试数字病理扫描仪的原型机。

Aperio GT450 智能数字病理扫描仪(图7)

病理学家在开发中的产品的测试阶段给出的平均影像质量得分。结果表明影像质量出色(评分为 4.0)。


Aperio GT450 智能数字病理扫描仪(图8)

基于象限的评分系统,病理学家用于在 Leica Biosystems进行影像质量测试期间对影像质量进行评分。

 


在线咨询

留言框

  • 产品:

  • 您的单位:

  • 您的姓名:

  • 联系电话:

  • 常用邮箱:

  • 省份:

  • 详细地址:

  • 补充说明:

  • 验证码:

    请输入计算结果(填写阿拉伯数字),如:三加四=7
  • 电话:TEL

  • 邮箱:EMAIL

    https://www.zmsjwood.com

  • 传真:FAX

版权所有© 2026 bat365(中文)官方网站-欢迎莅临 All Rights Reserved     备案号:

技术支持:化工仪器网     管理登录     sitemap.xml

TEL:

扫码添加微信